50대 이후 크게 늘어나는 간세포암 예방 및 치료법 > 학술(과학)

본문 바로가기
사이트 내 전체검색

학술(과학)

50대 이후 크게 늘어나는 간세포암 예방 및 치료법

페이지 정보

profile_image
작성자 최고관리자
댓글 0건 작성일 22-07-28 12:02

본문

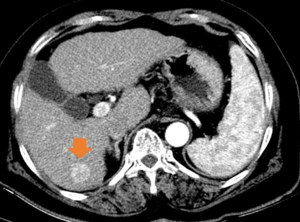
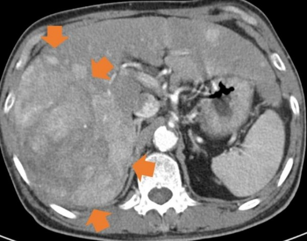
[오행생식 김미자 기자] 28일 국민건강보험공단이 건강보험 진료데이터를 활용해 2017년부터 2021년까지 간세포암(사진 1,2))’ 질환에 대해 분석한 결과 진료인원은 201759,040명에서 202164,525명으로 5,485(9.3%)이 증가하였고, 연평균 증가율은 2.2%로 나타났다.

 

이는 간암 유형별 전체 진료인원 80,853명 중 79.8%를 차지하는 수치다. 2021간세포암환자의 연령대별 진료인원 구성비를 살펴보면, 전체 진료인원(64,525) 60대가 36.7%(23,710)로 가장 많았고, 70대가 26.3%(16,976), 50대가 19.9%(12,861)의 순으로 나타났다.

 

남성은 60대가 38.3%로 가장 많고, 7025.0%, 50대는 21.4%였으며, 여성은 6031.5%, 7030.6%, 80세 이상이 16.1% 순으로 나타났다.

 

인구 10만 명당 간세포암환자의 진료인원을 연령대별로 살펴보면, 70대가 486명으로 가장 많고, 80세 이상 660, 60560명 순이었다. 여성 역시 70대가 240명으로 가장 많고, 80세 이상이 193, 60대가 130명 순으로 나타났다.

 

국민건강보험 일산병원 소화기내과 최종원 교수에 따르면 '간세포암' 발생 원인 및 주요 증상, 예방법은 다음과 같다.

 

# 발생 원인

 

간세포암은 간에 생기는 원발성 간암 중에서 간세포에서 기원하는 암을 말한다. 주요 발생 원인으로는 간염 바이러스 감염, 간경변증, 알코올성 간질환, 비알코올성 지방간 질환이 알려져 있다.

 

간염 바이러스 감염은 B, C형 간염 바이러스에 의해 간경변증, 간세포암이 발생하는 것으로, 전체 간세포암 발생의 75~80%가 이 두 가지 바이러스가 원인인 것으로 추정된다.

 

간경변증은 간경변증 발생의 원인에 관계없이 간세포암의 가장 중요한 위험인자로 간경변증 환자 중 간세포암 연간 발생률은 1~6% 정도로 알려져 있다. 알코올성 간질환이나 비알코올성 지방간 질환도 간경변증, 간세포암을 일으킬 수 있어서 주의가 필요하다.

 

# 주요 증상

 

간세포암의 증상은 서서히 나타나며 초기에는 잘 알 수 없는 경우가 많다. 초기에는 식욕부진, 체중감소, 복통, 소화장애, 복부 팽만감 등 비 특이적인 증상을 주로 호소하여 다른 질환과 감별하기가 어렵다.

 

뚜렷한 증상이 나타났다면 대부분 이미 병기가 진행된 경우이다. 간세포암이 진행되면 간이 비대해지면서 복부에서 만져지기도 하고, 간 기능이 나빠지면서 복수가 차거나 황달이 생길 수 있다.

간혹 간 표면에 위치해 있는 간세포암종에서 대량 출혈이 일어나 배가 갑자기 심하게 불러오면서 혈압이 급격히 떨어지는 쇼크 상태에 이르기도 한다.

 

# 예방법

 

간세포암은 만성 간질환과 연관되어서 발생하는 경우가 많으며 특히 B, C형 간염 바이러스가 주요 원인이므로 바이러스 감염을 방지하면 간세포암의 발생을 예방할 수가 있다. B형 간염 바이러스 감염은 모자감염이 많은 부분을 차지하고 있어 이를 억제하기 위해서 출산 시의 관리가 중요하며 출산 이후에도 B형 간염 바이러스에 대한 예방접종을 시행하도록 한다.

 

C형 간염 바이러스에 대해서는 아직 예방백신이 개발되지 않았으므로 불결한 침이나 주사바늘 등 전파경로를 차단할 수 있도록 노력해야 한다.

 

또한 음주습관, 식습관, 운동 등 생활습관 개선을 통해서 알코올성 간질환이나 비알코올성 지방간 질환, 더 나아가 간세포암 발생을 예방할 수 있다.

 

# 치료하지 않고 방치 시 위험성

  

환자가 갖고 있는 간염, 간경변증 등의 기저질환과 암의 진행 정도, 남아있는 간 기능을 평가해 적합한 치료를 시행하게 된다.

 

종양의 제거 및 완치를 노리는 근치적 치료로 간절제술, 간이식술, 고주파 열치료술, 에탄올 주입술을 시행할 수 있으며 진행된 병기에서는 비근치적 치료인 간동맥 색전술, 항암치료, 방사선치료를 고려할 수 있다.

 

간세포암을 치료하지 않을 경우에는 간세포암의 진행과 간 기능 악화로 인해 복수, 황달, 출혈과 같은 합병증이 발생할 수 있으며 그로 인해 사망에 이르게 된다.


사진1: 초기 간세포암, 사진 2:  진행된  간세포암 사진 

추천0 비추천0

댓글목록

등록된 댓글이 없습니다.


오행신문
정기간행물 등록번호 : 서울마 03175 | 등록일자 : 2007.12.01
대전광역시 서구 대덕대로 233번길 28, 503호(둔산동,국제빌딩)
발행일자 : 1994.10. 07 | 대표전화 : 042-584-5721
자연섭생 오행생식요법 학회 www.osacademy.kr
Copyrights (c) 2011 OS All rights reserved.